La salute dei denti e dei tessuti gengivali è il fondamento di ogni trattamento. Attraverso diagnosi precise e terapie mirate, manteniamo o ripristiniamo l’equilibrio biologico necessario per ogni riabilitazione duratura.
trattamenti
Il mio approccio personalizzato
Ogni sorriso è unico come il mio percorso per prendersene cura.
Ogni paziente ha una storia clinica, esigenze funzionali ed estetiche, aspettative e tempi diversi. Il mio approccio si basa su una valutazione approfondita e personalizzata, con l’obiettivo di costruire percorsi di cura su misura, fondati su esperienza clinica, evidenza scientifica e collaborazione multidisciplinare. Lavoro in sinergia con professionisti esperti per garantire trattamenti che rispettino l’equilibrio tra salute, funzione e bellezza, con risultati stabili e duraturi nel tempo.
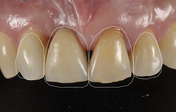
Forma, colore, proporzioni e simmetrie vengono analizzate con attenzione per armonizzare il sorriso con il volto. Ogni intervento estetico nasce da una progettazione digitale e da una sensibilità clinica orientata all’equilibrio tra bellezza e naturalezza.
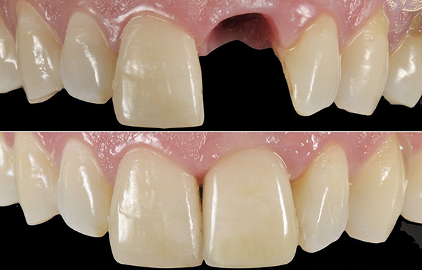
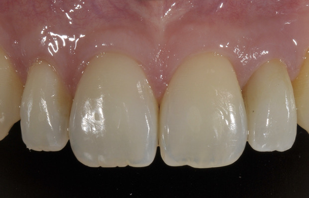
Nei casi di denti mancanti, l’uso degli impianti consente soluzioni altamente funzionali ed esteticamente integrate. Dalla pianificazione protesicamente guidata all’esecuzione, ogni fase viene gestita con attenzione ai tessuti e all’occlusione.


Vuoi prendere appuntamento?
Per prenotare una visita o ricevere informazioni, basta un messaggio o una chiamata.

Salute Orale
Base di ogni trattamento: diagnosi precisa e terapie mirate per mantenere equilibrio e benessere dei tessuti orali.

Riabilitazione Estetica
Armonia tra forma, colore e proporzioni per un sorriso naturale e in equilibrio con il volto.

Riabilitazione Implanto-protesica
Soluzioni personalizzate su impianti per ripristinare funzione, comfort ed estetica.

Igiene Professionale
Controlli regolari e sedute personalizzate per mantenere salute gengivale e prevenire patologie.

Sbiancamento dentale
Trattamenti sicuri e controllati per illuminare il sorriso rispettando lo smalto e la sensibilità dentale.

Conservativa diretta
Restauri minimamente invasivi per ricostruire forma e funzione dei denti compromessi, preservando tessuto naturale.

Faccette dentali
Soluzioni estetiche in ceramica sottile per correggere forma, colore e proporzioni del sorriso.

Protesi “Metal-free”
Materiali ceramici di ultima generazione per restauri estetici, biocompatibili e altamente resistenti.

Implantologia
Pianificazione guidata e precisione protesica per riabilitazioni funzionali e naturali anche nei casi complessi.

Chirurgia parodontale
Trattamenti mirati a rigenerare e modellare i tessuti gengivali, migliorando salute e armonia estetica.

Ortodonzia
Allineamento dentale attraverso allineatori invisibili o apparecchi tradizionali, per sorrisi equilibrati e occlusioni corrette.

Analisi della masticazione
Valutazione dinamica dell’occlusione per ottimizzare funzione, comfort e durata delle riabilitazioni.